We look forward to seeing you in our clinics in Prague, Ostrava, Opava, Bruntál, Žilina and Holíč. We provide online consultations. The team of the Society of Aesthetic Foot Surgery s.r.o.
Minimally Invasive Bunion Correction of the Right and Left Foot – March and November 2023
Patient Background:
A 59-year-old patient came to our outpatient clinic with pain and deformity in both big toes. The patient requested surgery using a minimally invasive technique with an absorbable screw.
Preoperative Condition:
The preoperative photograph of both feet demonstrates bilateral hallux valgus. Surgery was initially performed on the right foot.
Postoperative Condition of the Right Foot:
4 Weeks Post-Surgery: Postoperative images show the corrected position of the big toe. Mild postoperative swelling of the forefoot persists. There are four small scars on the inner side of the foot, resulting from skin punctures.
Postoperative image of the foot 12 months after surgery
12 Weeks Post-Surgery: The patient was able to fully load the right foot starting from the 6th week post-surgery. The patient expressed satisfaction with the results and opted for surgery on the left foot.
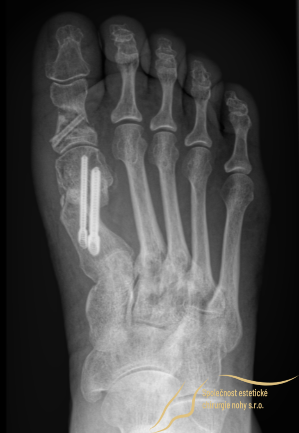
Postoperative X-Ray:
The X-ray confirms the stabilization of the corrected toe position with:
Two titanium screws in the instep.
One absorbable magnesium screw in the toe.
Note: Titanium screws remain permanently in the bone, while the magnesium screw dissolves within 1.5 years.
Postoperative Condition of Both Feet:
The patient subsequently underwent minimally invasive correction of the left foot. Postoperative photographs display:
The right foot at 7 months post-surgery.
The left foot at 3 months post-surgery.
At this stage, the scars on the right foot are indistinguishable from the surrounding skin, highlighting excellent healing and aesthetic outcomes.